KS-Fogszabalyozo-studio-lathatalan-fogszabalyozas

Adrienn

Goal:

Treatment of diastema, maximization of smile aesthetics

Treatment:

Adult orthodontics with a fixed braces

Period:

1 year 8 months

Applied technology:

Aesthetic fixed braces

About the transformation

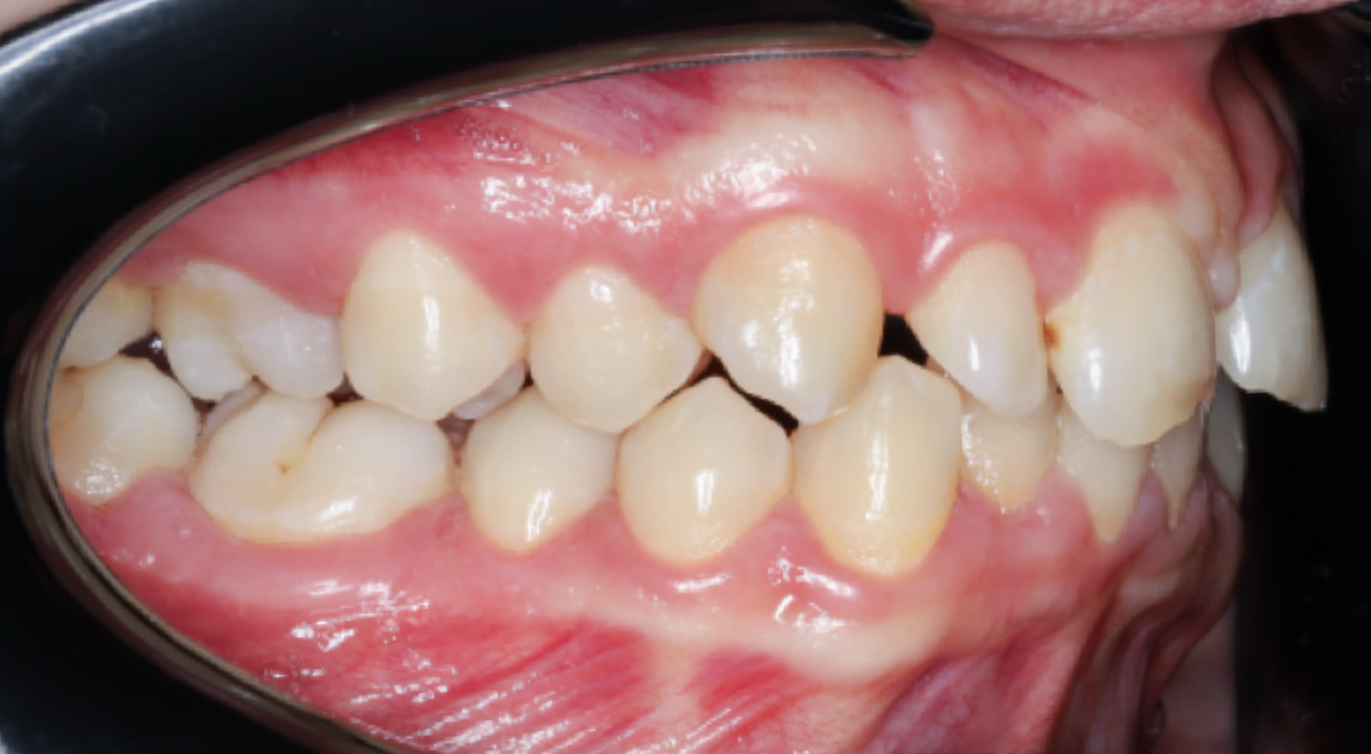
Adri's transformation is a real success story for me. She arrived as a quiet and reserved girl who was very bothered by the condition of her teeth and the large gap between her upper incisors. Her teeth were also traumatized, as a result of which a large piece of the upper incisors broke out, and the size and shape of the small incisors were also not suitable. In the treatment plan, we thought in advance about the final shape of the teeth, the gum contour - which we call pink aesthetics - as well as the adjustment of the bite and the solution to the deep bite. The planning and implementation of similar complex cases is also a great pleasure for me. And the result speaks for itself. :)
KS-Fogszabalyozo-studio-lathatalan-fogszabalyozas

Adrienn smile before treatment

KS-Fogszabalyozo-studio-lathatalan-fogszabalyozas

Adrienn smile after treatment

KS-Fogszabalyozo-studio-lathatalan-fogszabalyozas

Before

KS-Fogszabalyozo-studio-lathatalan-fogszabalyozas

After

KS-Fogszabalyozo-studio-lathatalan-fogszabalyozas

Before

KS-Fogszabalyozo-studio-lathatalan-fogszabalyozas

After

KS-Fogszabalyozo-studio-lathatalan-fogszabalyozas

Before

KS-Fogszabalyozo-studio-lathatalan-fogszabalyozas

After

KS-Fogszabalyozo-studio-lathatalan-fogszabalyozas

Before

KS-Fogszabalyozo-studio-lathatalan-fogszabalyozas

After

KS-Fogszabalyozo-studio-lathatalan-fogszabalyozas

Before

KS-Fogszabalyozo-studio-lathatalan-fogszabalyozas

After

KARÁCSONYI KEDVEZMÉNYÜNK

Fogászatunk idei évben még december 18-ig rendel teljes gőzzel.
December 16-án és december 18-án még van pár üres időpontunk.
Foglalj most és vedd igénybe az év végi kedvezményt minden kezelésünkre.

Download the price list

Please specify the e-mail address to which we can send our prices.