KS-Fogszabalyozo-studio-lathatalan-fogszabalyozas

Lilla

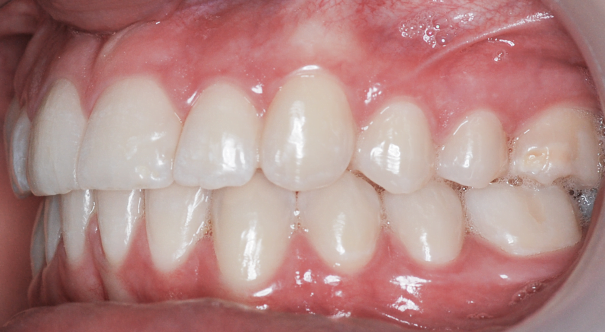
Goal:

Creating a perfect smile, adjusting the bite

Treatment:

Adult ortodontics with fixed braces

Period:

19 months

Applied technology:

In-Ovation® C ceramic brackets on the lower and upper dental arch

About the transformation

We met Lilla as a beautiful girl who never dared to smile. We achieved the result shown in the picture with fixed braces without tooth extraction. See where we started from.
KS-Fogszabalyozo-studio-lathatalan-fogszabalyozas

Lilla smile before treatment

KS-Fogszabalyozo-studio-lathatalan-fogszabalyozas

Lilla smile after treatment

KS-Fogszabalyozo-studio-lathatalan-fogszabalyozas

Before

KS-Fogszabalyozo-studio-lathatalan-fogszabalyozas

After

KS-Fogszabalyozo-studio-lathatalan-fogszabalyozas

Before

KS-Fogszabalyozo-studio-lathatalan-fogszabalyozas

After

KS-Fogszabalyozo-studio-lathatalan-fogszabalyozas

Before

KS-Fogszabalyozo-studio-lathatalan-fogszabalyozas

After

KARÁCSONYI KEDVEZMÉNYÜNK

Fogászatunk idei évben még december 18-ig rendel teljes gőzzel.
December 16-án és december 18-án még van pár üres időpontunk.
Foglalj most és vedd igénybe az év végi kedvezményt minden kezelésünkre.

Download the price list

Please specify the e-mail address to which we can send our prices.