
Portfolio/ Mia
Mia
Goal:
Improving smile aesthetics, adjusting front teeth and solving cross contact.
Treatment:
Adult (lower-upper) orthodontics with invisalign
Period:
5 months
Applied technology:
Invisalign® Lite
About the transformation
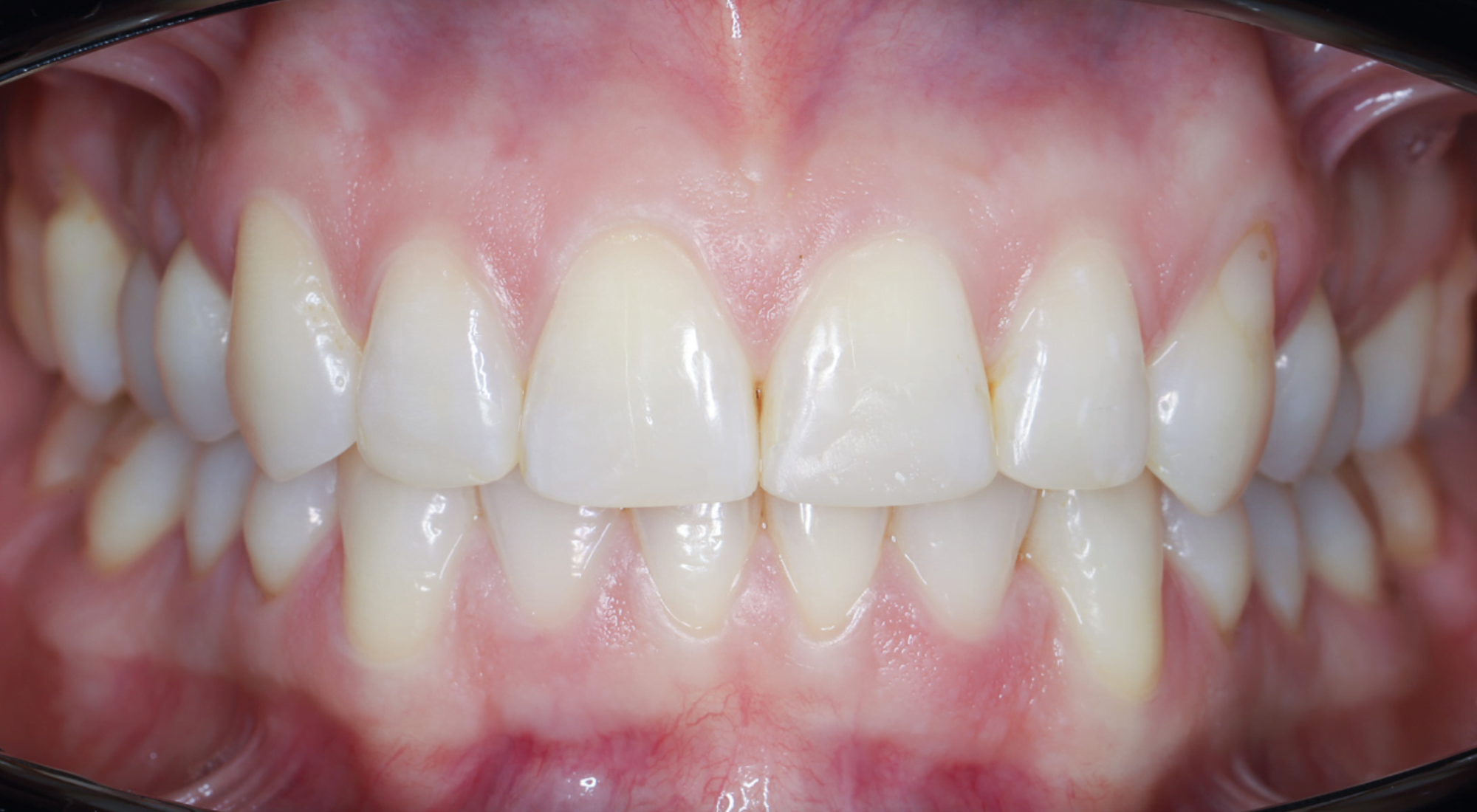
Mia was referred to the Studio by a dentist colleague. The original position of the front teeth did not allow for cosmetic dentistry. We were on the same page at the first consultation, and it was easy for her to understand the treatment goals. In her case, the perfect result was already digitally planned. 3D smile design allows for the most precise adjustments and the most effective solutions. I love to work with such demanding and cool patients like her. Look at the smallest details in the pictures! 🙂

Mia smile before treatment

Mia smile after treatment

Before

After

Before

After

Before

After

Before

After

Before
