
Portfolio/ Petra
Petra
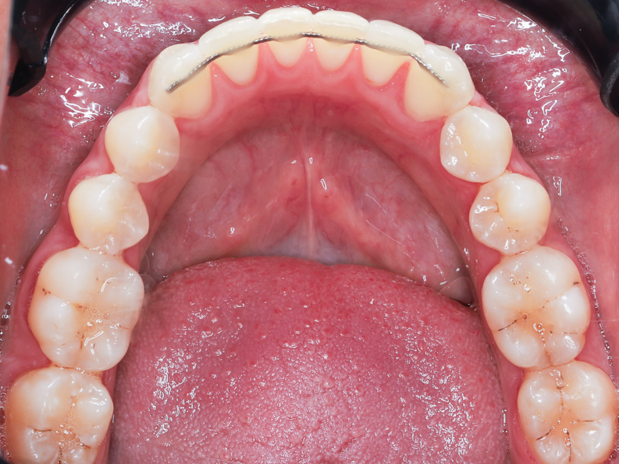
Goal:
Solving the congestion of the upper dental arch, ensuring that the teeth can be cleaned.
Treatment:
Adult orthodontics with a fixed braces
Period:
1 year 8 months
Applied technology:
Self-ligating fixed aesthetic braces
About the transformation
Petra came to us on the recommendation of a dentist colleague (Dr. Detre Kovács). We met a real superwoman in her person. She was mainly bothered by the congestion of the upper arch. In addition to the aesthetic adjustment, we also straightened the contact of the lateral teeth. This is very important for long-term retention. Look how beautiful it is. 🙂

Petra smile before treatment

Petra smile after treatment

Before

After

Before

After

Before

After

Before

After

Before
