KS-Fogszabalyozo-studio-lathatalan-fogszabalyozas

Ágnes

Cél:

Torlódások megoldása, szép mosoly kialakítása

Kezelés:

Felnőtt fogszabályozás rögzített készülékkel

Időintervallum:

15 hónap

Alkalmazott technológia:

Innov. C-esztétikus

Az átalakulásról

Ágnes nem volt tökéletesen elégedett a mosolyával ezért kereste fel a Stúdiót. Elsősorban a frontfogak torlódása zavarta, de már az első konzultáció után látta, hogy az esztétikán túl milyen hozadékai lesznek a fogszabályozó kezelésnek. Kezelés közben országot is váltott, ennek ellenére szuper gördülékenyen ment a kezelés. Nézzétek a végeredményt.
KS-Fogszabalyozo-studio-lathatalan-fogszabalyozas

Ágnes mosolya a kezelés előtt

KS-Fogszabalyozo-studio-lathatalan-fogszabalyozas

Ágnes mosolya a kezelés után

KS-Fogszabalyozo-studio-lathatalan-fogszabalyozas

Előtte

KS-Fogszabalyozo-studio-lathatalan-fogszabalyozas

Utána

KS-Fogszabalyozo-studio-lathatalan-fogszabalyozas

Előtte

KS-Fogszabalyozo-studio-lathatalan-fogszabalyozas

Utána

KS-Fogszabalyozo-studio-lathatalan-fogszabalyozas

Előtte

KS-Fogszabalyozo-studio-lathatalan-fogszabalyozas

Utána

KS-Fogszabalyozo-studio-lathatalan-fogszabalyozas

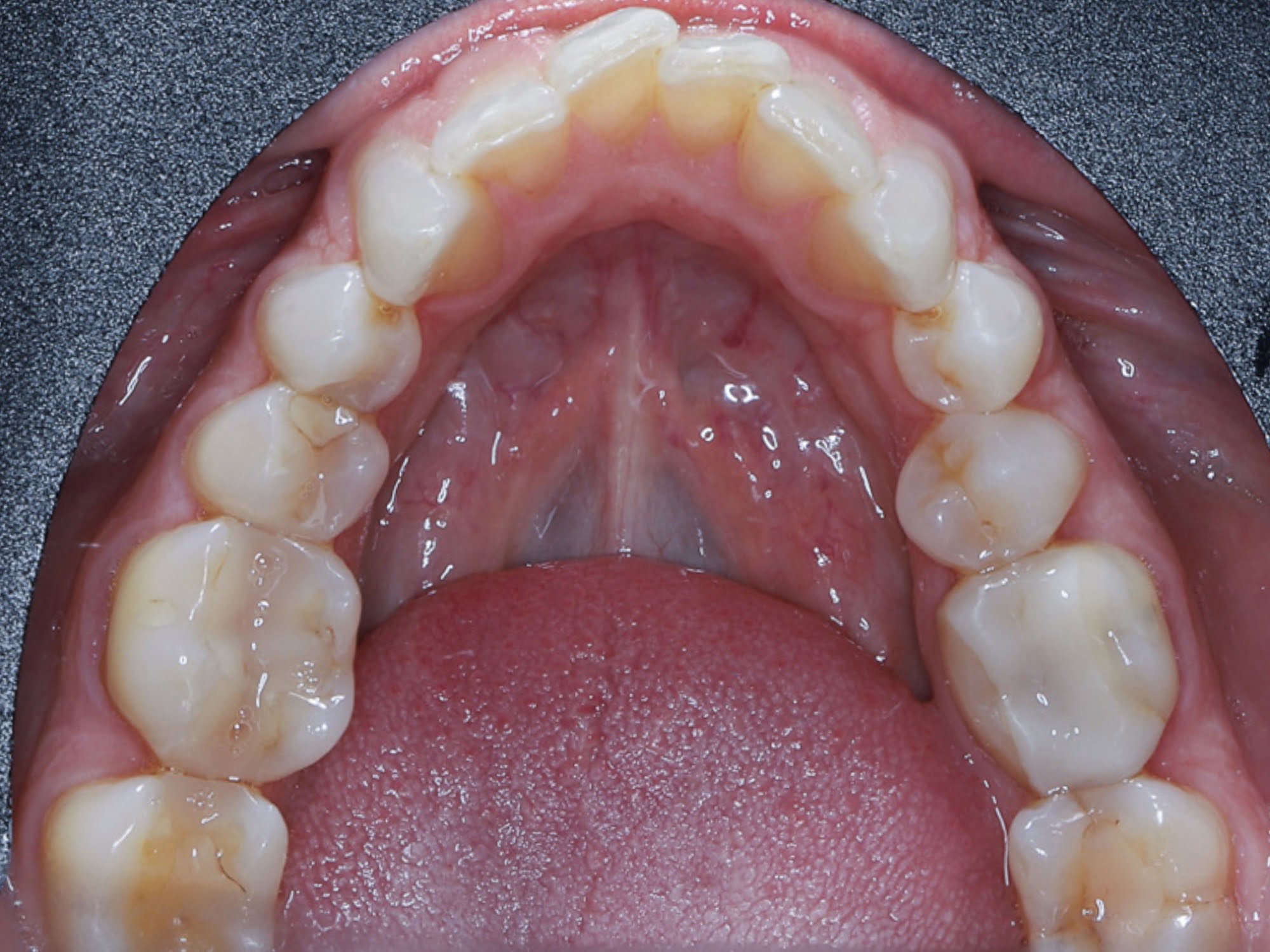
Előtte

KS-Fogszabalyozo-studio-lathatalan-fogszabalyozas

Utána

KS-Fogszabalyozo-studio-lathatalan-fogszabalyozas

Előtte

KS-Fogszabalyozo-studio-lathatalan-fogszabalyozas

Utána

KARÁCSONYI KEDVEZMÉNYÜNK

Fogászatunk idei évben még december 18-ig rendel teljes gőzzel.
December 16-án és december 18-án még van pár üres időpontunk.
Foglalj most és vedd igénybe az év végi kedvezményt minden kezelésünkre.

Árlista letöltése

Kérlek add meg, milyen e-mail címre küldhetjük az árainkat.